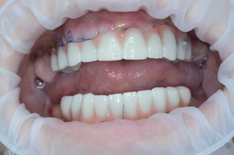
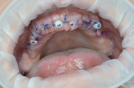
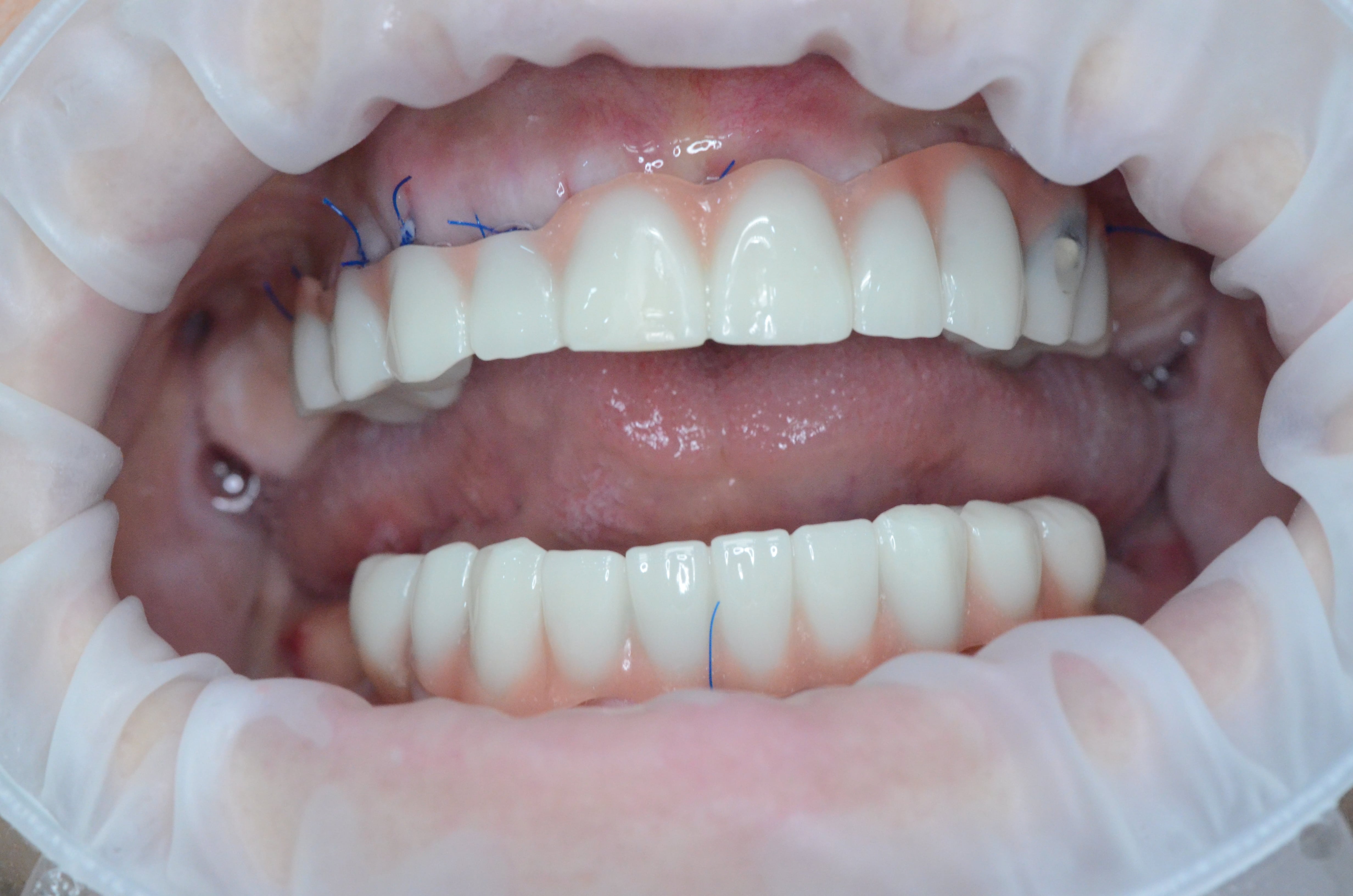
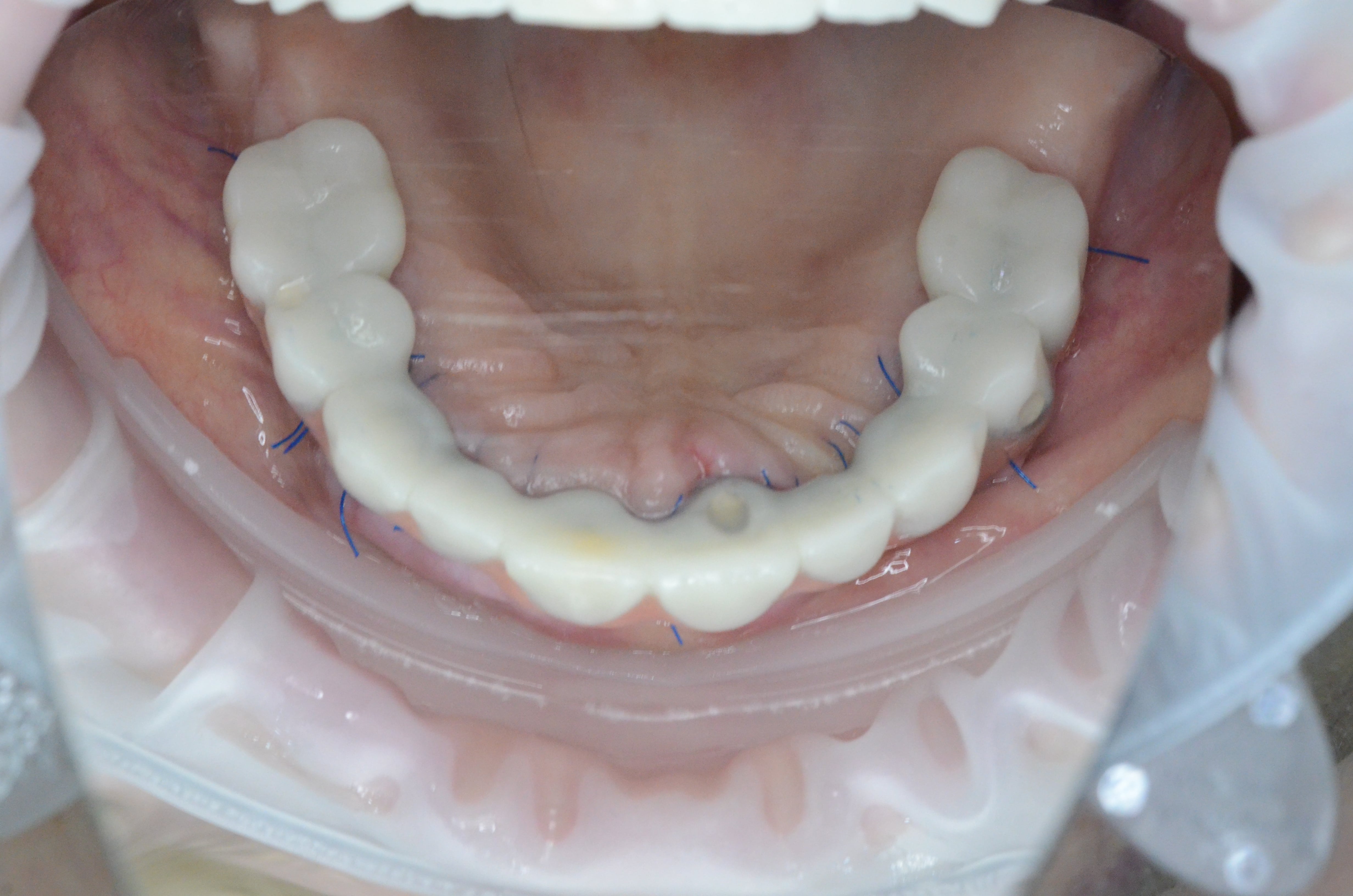
Запатентованная методика All-on-4 с использованием изделий NobelBiocare с немедленной нагрузкой имеют стоимость от 450 000 руб. и не может стоить меньше! Более дешевая альтернатива: технология «Все на 4-х» имплантатах NobelBiocare с более поздним протезированием – от 160 000 руб. Озвученные цены - только себестоимость наиболее бюджетных протоколов лечения. Если цена на All-on-4 будет еще дешевле, то только за счет экономии на этапах диагностики, лечения, а также качестве использованных материалов (применение подделок).
Гарантию успеха лечения дают только оригинальные и надежные эффективные технологии и материалы. Будьте консервативны и рациональны в вопросах лечения – не стоит экономить на собственном здоровье!









